
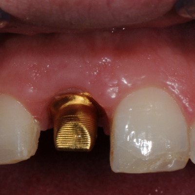
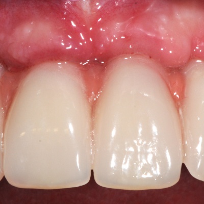
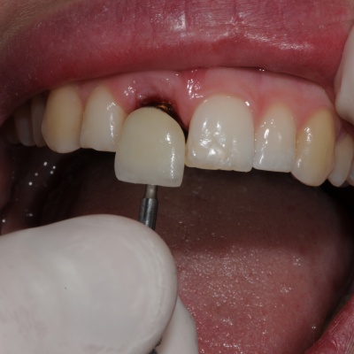
Le formateur est disponible pour toute demande de l'apprenant. Le stagiaire pourra assister au fauteuil pour des chirurgies implantaires au sein du centre de formation, puis au dans son propre cabinet sur un de ses patients, le tout supervisé par le coach.

ACI Formation propose 3 modules de formation qui couvrent l'ensemble de l'implantologie dans un cabinet dentaire omni-pratique.


